华盛顿:美国国防部长劳埃德·奥斯汀下令一艘导弹潜艇前往中东,并告诉林肯号航空母舰战斗群更快地驶向该地区,因为美国...
华盛顿特区[美国],7月19日(ANI :美国前总统巴拉克·奥巴马现在加入了那些对乔·拜登重返美国总...
科尔斯宣布,它正在试验一项新功能,旨在减少新鲜农产品部门的一次性塑料袋。 在五家参与的Co...
澳大利亚电信(Telstra 为一个“令人深感不安”的技术问题道歉,该问题导致澳大利亚人无法与训练有...
温莎地名确认下一个全新的模式从MG汽车印度。 跨界型EV比ZS EV更宽、更高;配备50....
警方呼吁提供信息,以帮助他们找出周日一名50岁的诺拉马拉男子死亡的原因。 晚上9点多,一名路人在Rav...
一名男子被指控饲养了两只超大型恶霸犬,并将一名祖母咬死。 今年2月3日,68岁的埃丝特·马...
晚上好。据报道,在默西塞德郡南港发生的持刀袭击事件中,有8人受伤,其中包括儿童。 在今天的...
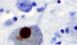
对于帕金森病患者来说,有一些好消息:根据2024年8月7日发表在《神经病学》网络版上的一项研究,患痴...
吉隆坡,8月8日——外交部长拿督斯里穆罕默德·哈桑将在沙特阿拉伯吉达举行的伊斯兰合作组织(OIC 外...